

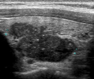
Bu tipteki kanserler genellikle 20-50 yaş arasında, kadınlarda erkeklere göre 3 kat daha fazla görülür. 14 yaşından küçük çocuklarda da görülen en sık tiroid kanseri bu tiptedir. Tiroid kanserlerinin % 90 ı bu tiptir. Genellikle uzun yıllar (bazen 30 yıl) hiç büyümeden 1 cm nin altında kalarak belirti vermeyebilirler ve başka bir sebeple örneğin guatr veya hipertiroidi nedeniyle bezin ameliyatla çıkartıldığında tesadüfen bulunurlar. Son yıllarda check up programları sırasında hassas ultrasonografi aletleri ile tetkik sırasında sıkça bulunmaya başlamışlardır. Bu tipteki kanserler Türkiye’de bizim yaptığımız bir çalışmada genel nüfusun % 2 sinde mevcuttur ve kişiler hasta olduklarını bilmemektedirler. Bazı ülkelerde bu oran halkın % 30 u kadar yüksek oranlara çıkar (Japonya, Finlandiya). Bu durum yüksek miktarda deniz ürünü yenmesi ve bununla alınan aşırı miktarda iyotun tiroid bezinde iltihaplanmaya ve bu iltihap zemininde kanser çıkmasına bağlanmaktadır.

Papiller kanserin tedavisi cerrahidir ve total tiroidektomi ile tedavi edilmelidir. Hastalara ameliyat sonrası 10 mm den küçük bir “mikrokanser” varlığında tiroid hormonu verilmesinden başka bir tedavi uygulanmaması genel bir kabul görmüş yöntemdir. Ancak kanserin lenf bezlerine atlamış olması, kanserin tiroid çevreleyen kapsüle gelmiş olması ve kanser çapının 10 mm den büyük olduğu hallerde radyoaktif iyot tedavisi ameliyattan 6 hafta sonra uygulanmalıdır. Bu tedavi hastalığın gerek lokal olarak boyunda gerek uzak metastaz şeklinde geri gelmesi olasılığını azaltır. Hastaların boyunda lenf bezi tutulumu olduğu taktirde tiroid ile birlikte lenf bezlerinin de bir blok halinde çıkartılması gerekir. Bu durumdan ameliyat öncesi şüphelenildiğinde bu lenf düğümü tiroid ameliyatından önce hiçbir şekilde cerrahi olarak çıkartılmamalı, gerekiyorsa iğne biyopsisi ile tanı konmalı ve doku bütünlülüğü bozulmadan hastanın tiroid bezi lenf bezleri ile birlikte çıkartılmalıdır. Bu ameliyata total tiroidektomi+modifiye radikal veya fonksiyonel boyun lenf disseksiyonu ameliyatı adı verilir.

Hastaların takibi TSH değerleri ve Tiroglobulin değerleri ile yapılır. TSH hastanın aldığı hormon miktarını gösterirken Tiroglobulin değerinin “0” civarında bulunması hastalığın tedavi edilmiş olduğunu gösterecektir. Ancak bazı hallerde Tiroglobulin değeri yükselmeden de hastalık geri gelebilir.
Hastaların % 90 ı başarılı bir tedavinin ardından normal sağlıklı hayatlarını sürdürecekleri için tüm kanser hastaları içinde en “şanslı” olanlarıdır.

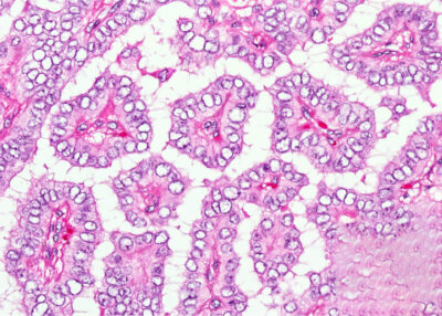
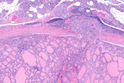
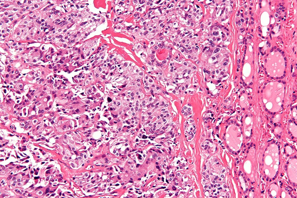
Bu gruptaki hastalar daha çok 40-60 yaş arası kadınlardır. Tiroid kanserlerinin %5 ini oluştururlar. Folliküler kanserler tiroid kanserleri içinde tanısı en zor konan gruptur. Zira bu grupta gerek ameliyat öncesi yapılmış olan ince iğne biyopsisinde gerek ameliyat sırasında yapılan dondurarak hızlı inceleme (frozen section) de lezyonun bir kanser olup olmadığını anlamak mümkün değildir. Zira bu türde kanser olup olmadığı ancak normal yapıdaki hücrelerden oluşan bu kitleyi çevreleyen kapsülün herhangi bir yerinde hücrelerin bu kapsülü delip dışarı çıkıp çıkmadığının görülmesi ile konabilir. Kapsülün bu şekilde bir istilası durumunda folliküler kanser, kapsülün sağlam kalması halinde iyi huylu folliküler adenom tanısı konur.

Tedavileri papiller tipte olduğu gibi total tiroidektomi ve istila yapmış kanser durumunda tümör büyüklüğü ne olursa olsun ameliyat sonrası radyoaktif iyot tedavisi şeklindedir. Hastaların % 80 i başarılı bir tedavi ardından normal sağlıklı yaşamlarını sürdürürler.


Genetik geçiş gösteren ailevi tipleri 1-20 yaş arasında görülürken ailevi olmayanlar 40 yaşından sonra ve genellikle lenf metastazı yapmış olarak ortaya çıkarlar.

Tiroid kanserlerinin % 5 ini oluştururlar. Tedavileri total tiroidektomi ve tümörün olduğu tarafa lenf disseksiyonu yapılması şeklindedir. Bu tipte ameliyat sonrası radyoaktif iyot kullanılmaz, zira tümörün çıktığı hücre diğer tiroid hücrelerinden farklı olup iyot tutamaz. Takiplerinde kanda kalsitonin değeri önemlidir. Hastaların % 60 ı başarılı bir tedavi ardından sağlıklı yaşamlarını sürdürürler.

Bu tip tiroidin en amansız kanseridir. Tiroid kanserlerinin % 1 ini oluşturur. Genellikle 60 yaş sonrasında ve uzun yıllar tedavisiz kalmış papiller veya folliküler kanserlerin birden biyolojik davranışlarını değiştirerek hızla büyümeye başlaması ile oluşurlar.

Genellikle cerrahi uygulanamayacak kadar ileri vakalardır. Hastaları rahatlatma amacı ile boyuna radyoterapi uygulanabilir.